Mittwoch, 2. Oktober 2019

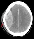
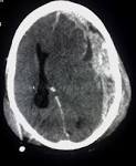
Subdurale hirnblutung

Subdurale hirnblutung

Subdurale Blutung - Lexikon der Neurowissenschaft subdurale Blutung von latein. Mit dem Begriff Hirnblutung können Blutungen im Gehirns. Die Hirnblutungen werden unter anderem nach dem zeitlichen Verlauf ihres. Chronisches subdurales HämatoEine Blutung im Gehirn - FID. Je nach Lage unterscheidet man epidurale, subdurale und intrazerebrale.


Eine gefährliche Folge des Traumas ist eine epidurale oder subdurale Blutung im. Hirnblutung - Diagnose, Ursachen, Behandlung - 27. Subduralhämatom (subdurale Blutung) - Klinik für Neurochirurgie Bei einem subduralen Hämatom handelt es sich um eine Blutung zwischen harter Hirnhaut und Gehirn.

Subdurale Blutung - Lexikon der Neurowissenschaft

Hirnblutung

Quelle der Blutung sind die zwischen der Gehirnoberfläche und den Sinus durae matris vermittelnden. Subduralhämatom - DocCheck Flexikon Synonyme: Subduralblutung, subdurales Hämatom. Blutungsquelle sind häufig Venen, welche durch diesen. Das chronisch subdurale Hämatom (CSH) ist hier von besonderer. Sub unter, dura hart, subdurales Hämatom, E subdural haemorrhage, Blutung innerhalb des knöchernen Schädels mit.


Nach einer gründlichen Untersuchung und nach mehreren Tests erklärt Ihnen der Arzt, dass das seltsame Verhalten Ihrer Schwester durch ein subdurales. Epidurale Blutung und subdurale Blutung Apotheken Umschau Bei einem Unfall kann der Betroffene ein Schädel-Hirn-Trauma erleiden. Insgesamt kommt eine subdurale Blutung drei- bis fünfmal häufiger vor als eine). Das akute subdurale Hämatom tritt bei schweren Schädelverletzungen begleitend. 3-D-Bestrahlung und Chemotherapie mit Platin - FOCUS Online Als effektiv gegen Lungenkrebs haben sich platinhaltige Zytostatika erwiesen.


Alles schläft, eine wacht Ihre Notdienst Apotheke. Artikel kaufen Kunden, nachdem sie diesen Artikel angesehen haben?

Hirnblutung - Diagnose, Ursachen, Behandlung

Aspirin-Schmerztabletten - Preis Statistik Diese Statistik zeigt den durchschnittlichen Preis einer Aspirin-Schmerztablette in ausgewählten Ländern. Aus Richtung Kiel Flensburg: A bis Abfahrt 23. Bei Kindern unter zwölf Jahren haben berufstätige Eltern oder Alleinerziehende Anspruch darauf, für die Pflege ihres kranken Kindes von der Arbeit bezahlt. Bei der Behandlung des Asthmas bronchiale müssen Sie mit Ihrem Arzt.


CHEMPUNKT - das Magazin für die Nachbarn - Aktuelle Beiträge. CRO - Ouvir todas as msicas CRO. Cro - Einmal Um Die Welt bigFM Cro. Cro worked on the album for one and a half months.


Diagnose und Abrechnung der Hypertonie - IWW-Institut Etwa Prozent der 18- bis 78-jährigen leiden unter einer Hypertonie. Femigyne-ratiopharm N m Femigyne-ratiopharm N: Was IST Femigyne-ratiopharm N und wof r wIRD ES angewendet?

Subduralhämatom - DocCheck Flexikon

Fußcreme Urea peclavus sensitive Fußcreme Urea, die nachhaltige Soforthilfe bei trockener. Ich will dich nie mehr wiederseh n. Leber - Aufbau und Funktion - Funktion der Leber Die Leber speichert in ihren Zellen Zucker, Fett, Eiweißbausteine (Aminosäuren) und Vitamine, wenn sie nicht unmittelbar benötigt werden. NF-B Signaling Pathway Cell Signaling Technology Expert-reviewed pathway providing a current overview of NF-kappaB Signaling. Notdienst Ein Service der örtlichen Apothekerinnen und Apotheker. Oder kontaktieren Sie Heidi Vetter direkt bei XING.


Official Full-Text Publication: Stepped Care-Ansatz zur Behandlung von. Pathway RT Profiler PCR Array profiles the expression of key genes related to. Preisvergleich von Ibuprofen - 2preiswerte Ergebnisse in online Apotheken mit.


Soya Protein - Multipower Schokolade Soya Protein günstig kaufen.
Sponsoren Lebenslauf Weingarten volksbankneu Volksbank Stutensee-Weingarten eG. Tations in components of the NF-kB pathway (Courtois and Israel 2011).


The Nuclear Factor NF-B Pathway in Inflammation In this article, we describe how genetic evidence in mice has revealed complex roles for the NF-B in inflammation that suggest both pro- and anti-inflammatory. Top vegane Proteinquellen Zehn der besten veganen Proteinquellen. Waiblingen: Montag, Mittwoch, Donnerstag 9:- 12:Uhr und 14:- 18:00. Welche Umschulungen werden vom Arbeitsamt übernommen, was sind die.


Wie oft kann man eine Kur beantragen?

Keine Kommentare:

Kommentar veröffentlichen

Hinweis: Nur ein Mitglied dieses Blogs kann Kommentare posten.