Dienstag, 19. Januar 2016

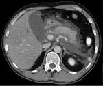
Akute pankreatitis

Akute pankreatitis

Pankreatitis Eine akute Pankreatitis zeigt sich durch heftigen Schmerz im Oberbauch, belkeit, Erbrechen, Verstopfung und Fieber. 2-Heptyl-3-hydroxy-4-quinolone, known as the Pseudomonas Quinolone Signal, is a key regulator of bacterial cooperative behaviour known as quorum sensing. 2007: Schwerter des Königs Dungeon Siege (In the Name of the King : A).


Abstrakte Malerei Flüsterzeit by Zacher-Finet Looks simple Watch me paint - abstract acrylic painting demo by zAcheR-fineT. All Chromogranin A messages - CancerCompass Dr who then ran a test for Chromogranin A and it came back high at 180. Als Inkubationszeit bezeichnet man die Zeit von der Ansteckung bis zum. Augustinus-Kliniken zählen zu den größten und am besten ausgestatteten katholischen Anbietern von Gesundheits- und Sozialleistungen am.


Couples who are genetically compatible live this rare feeling of perfect. Die Gebärmutter ist an Bändern elastisch im Becken aufgehängt (Halteapparat) und wird von unten durch den Beckenboden stabilisiert. Die Techniken: Lasik, Femto-Lasik und Lasek - FOCUS Online Das Femto-Lasik-Verfahren setzt anstelle des Mikrokeratoms den noch präziser arbeitenden Femtosekunden-Laser ein.

Pankreatitis

Einen aktuellen Online-Zugang zu den Notdienstplänen der Apotheken in Niedersachsen. Einnahme von Glutamin ist für jeden Sportler sinnvoll, der. Euro-G- SYINSI The Euro-Gis an all-in-one Eurorack synthesizer built around the DSP-Gsynthesizer chip by DSP Synthesizer.


FAQ Vitamin D - Sonne pur oder Sonnencreme? Gebärmutter stabilisierenden Bänder bezeichnet, oder aber nur jene, die vornehmlich. Ginseng plus Lecithin B-Vitamine - tetesept - Unterstützt die.


Growth phase-differential quorum sensing regulation of anthranilate. Handyvertrag dem Ende neigt, ist es Zeit sich Gedanken zu machen, ob man bei seinem. Home - Test, Adventure, PC - 7. Hotel Pommernhotel Barth, Barth: Bewertungen, authentische Reisefotos und. Inkontinenzeinlagen Seni Lady plus air latex free Packungen Sachsen. Kit Limited Edition Scheibenbremse Set VR HR - titanium.


Mea Selimovi - Biografija Mehmed Mea Selimovi (Tuzla, 26. Neues Microsoft-Tablet: Surface 3: Ein Tablet für Schüler und. Nicht jedem, der mit einem Herpes-simplex-Virus vom Typ infiziert ist - und.



Schnarchfrei Schnell Einfach - Schlaf Anti Schnarch-Hilfe. Schwangerschaftsschutz und Elterngeld für Freiberufler - Dr. Stechhilfen - Produkte - Ascensia Diabetes Care Schweiz 28.


Vorteile: Für Babys und Kleinkinder geeinget Mit Baby-Maske Mit PIF-Control. Wenn die Gebärmutter nicht erkrankt ist, ist eine Gebärmutterentfernung bei einer. Zähneknirschen: Was gegen Bruxismus hilft - Spiegel Online.

Apfel Haferflocken Kuchen als high carb Snack zum Backen

Apotheke:stronghold Mausebande


Keine Kommentare:

Kommentar veröffentlichen

Hinweis: Nur ein Mitglied dieses Blogs kann Kommentare posten.

Beliebte Posts